小朋友有白兔牙,煞是可愛。但當小朋友日漸成長,白兔牙變成哨牙就不再可愛。 或有倒及牙,小小年紀被笑有鞋揪臉,可能影響自尊心。其實這類牙齒咬合不正問題,在發育期內矯正,效果顯著,更恍如變戲法一樣,矯正後完全變臉,青蛙變王子!
十四歲的頌恩這天到香港養和醫院牙科中心覆診,由牙醫檢查這三年來的牙齒矯正工程進度。
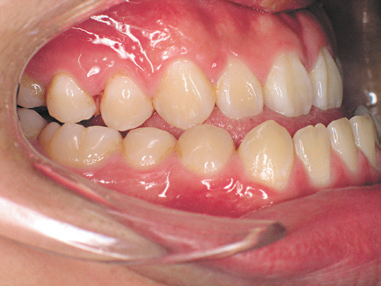
經過詳細檢查後,牙醫為他換了一副透明的牙箍,從這天起正式步入穩固期,並將三副隱形牙箍交予頌恩,他珍而重之接過後,將牙箍安放在盒子內,因為這三個穩定期牙箍,將會戴一世。從頌恩今天的俊臉,很難猜到他以前的牙齒問題,但當看到醫生電腦資料夾內的記錄圖片,才發現箍牙工程的神奇效果!
「我小時候有哨牙,上顎生得太前,以致嘴巴無法完全合起來。這問題在我小學一年級時已經發現,當時剛開始換牙。爸爸見到問題,帶我見牙科林醫生,做詳細檢查照X光,不過當時年紀小,林醫生說不用心急,待進入換牙期後,才開始矯正,但不用等乳齒完全換完才開始。」頌恩向記者說。
[caption id="attachment_493945" align="aligncenter" width="263"]
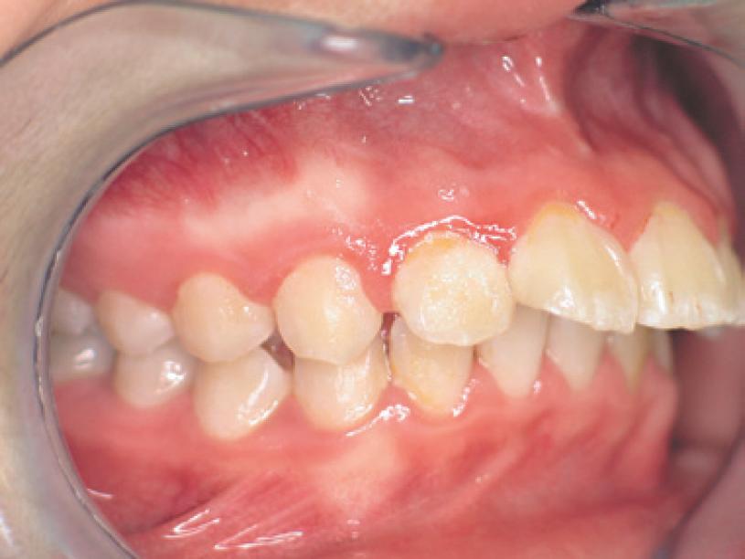
林醫生一直跟進頌恩情況,在頌恩大約九至十歲開始做了兩年顎骨矯正治療,以肌能矯正器(俗稱活動矯正器)先矯正顎骨比例,再在頌恩十一歲時開始第二階段的改造工程。「最初用金屬牙箍,每顆牙齒有金屬貼的一種,金屬貼以鋼絲連起來。頭一個星期,我非常不習慣,除了不適感外,外觀亦不佳,令我無晒信心,好唔開心。
[caption id="attachment_493954" align="aligncenter" width="696"]
戴上牙箍後,頭一天說話會口齒不清,但都算很快習慣。我用的是活動式牙箍,初期戴牙箍時間較短,其後越來越長,後期要全日戴,除了進食外時刻都要戴住。平日要勤力清潔,進食後一定會刷牙及漱口……」頌恩說。
[caption id="attachment_493955" align="aligncenter" width="696"]
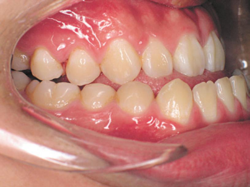
之後三年,頌恩需要定期覆診檢查進度,更換不同牙箍,佩戴時間亦由半天變為全日。
發育期是箍牙黃金期
養和醫健牙科中心牙齒矯正科專科醫生林詩韻說,任何年齡人士都可以做牙齒矯正,沒有年齡限制,
只要牙齒、牙周組織健康、顎骨比例正常,七十歲都可以做修正。不過像頌恩的牙齒咬合不正問題屬顎骨問題,如能在黃金期內修正,效果最顯著。
為甚麼會有牙齒咬合不正問題?
林醫生解釋,人類顎骨分為三類:
第一類是正常顎骨,上顎骨比下顎骨略大,當嘴巴合起來時,上門牙應蓋住下門牙。大部分即三分之二人屬第一類。
[caption id="attachment_493941" align="aligncenter" width="381"]
第二類是上顎骨生長過速而較大、下顎骨則較細,牙齒咬合時,上排牙齒與下排牙齒距離較大,俗稱「哨牙」。
第三類是是上顎骨較細,或下顎骨較大,或同時上顎骨過細而下顎骨過大,這類俗稱「倒及牙」。約三分之一的顎骨在第二類及第三類。
「顎骨偏離正常比例人士,可以在發育期內進行矯正。不同類型顎骨問題,有不同最佳矯正時限,一般來說,接近發育期或青春期就可以調整顎骨。少女發育期至十六、十七歲完結,少男發育期至十八、十九歲,故最佳調整期必須在此之前。」林醫生說。
[caption id="attachment_493944" align="aligncenter" width="581"]
牙齒矯正科醫生通常在兒童十至十二歲開始進行矯正顎骨工程,配合青春期內的發育高峰期,可以在最短時間內得到最佳效果,小朋友亦毋須長時間箍牙。
初期可用活動牙托
林醫生解釋,不同年齡兒童有不同矯正方式,如在十至十二歲期間,可以用活動牙托,只需在家時佩戴已可以處理顎骨不正問題。如接近發育完結期,就需要用全日佩戴的金屬牙托。
「活動托的好處是,在矯正期內都沒有人知道你正在箍牙;如較遲才開始矯正,就需要用全日佩戴的牙托,這類都有活動式及固定式的牙齒矯正器供選擇。
十至十二歲兒童每天戴十二小時活動托便足夠,較年長才開始的可能每天要戴十六至十八小時。如已經過了青春期,顎骨偏離幅度大,就可能要做手術。如顎骨偏差不太遠,輕微倒及,或輕微哨牙,都可以純綷以箍牙方式矯正。」林醫生說。
顎骨牙齒 同時矯正
昔日箍牙只有金屬製全日佩戴的固定牙箍,戴上後不美觀,近二十年技術及物料進步,有多種牙齒矯正器(或稱牙箍、牙托)供選擇,當中亦分為矯正牙齒、矯正顎骨,以及矯正牙齒及顎骨三類,物料亦由只有金屬,發展出陶瓷牙箍、透明的塑膠牙箍或稱隱形牙箍。
[caption id="attachment_493948" align="aligncenter" width="751"]
「每種牙箍都有優勝處及缺點,某些咬合不正問題可能只可用特定牙箍。」林醫生說。「牙箍扣住牙齒,透過牙箍牽拉力可以改變牙齒咬合方式,改變肌肉軟組織壓力,拉扯時刺激顎骨生長。對於過小的顎骨,在黃金生長期,我們透過矯正學可以將其擴張、拉長、拉闊。如過了發育期,就需要外科手術移動顎骨來修正。」林醫生解釋。
[caption id="attachment_493949" align="aligncenter" width="629"]
透過箍牙程序矯正顎骨,昔日治療是先修正顎骨,然後才修正牙齒排列,現時技術進步,部分個案可以同一時間矯正顎骨及牙齒排列,縮短治療時間。
[caption id="attachment_493950" align="aligncenter" width="583"]
「同時有顎骨及牙齒問題個案,昔日箍牙療程,每階段需要一年半至兩年時間才完成,整個過程需三至四年;現在可以同時進行矯正,大約兩年餘便能完成。
[caption id="attachment_493951" align="aligncenter" width="549"]
不過實際時間需要視乎問題的嚴重程度,以及患者的配合程度。如果兒童不肯聽牙醫指示佩戴,效果就大打折扣。」林醫生說。
現時父母大多細心留意兒女的成長變化,加上有學童牙科保健,故一般能及早發現問題,及早處理。大部分兒童對自己儀容要求高,所以當有哨牙或倒及牙情況需要治療,一般都願意配合治療。
牙齒發展 及早評估
林醫生提醒,學童牙科保健每年只有一次機會見牙醫,有時未必即時發現問題。即使表面沒有察覺牙齒有任何不妥,都建議家長在兒童七歲時見牙醫進行詳細牙科檢查,檢查牙齒排列、牙齒及牙骨發展,評估有沒有問題,是否有需要而定下時間表作矯正。
「顎骨矯正是牙齒矯正科的其中一個專科,整個牙齒發展及顎骨發展都由我們處理。如小朋友有嚴重哨牙或倒及牙,家長會看到,但輕微的未必察覺,我們在兒童六、七時的牙齒X光片能及早了解情況,預計日後會顯現的牙齒問題,例如在不同時期的換牙情況是否達到指標,是否有乳齒遲遲未掉或恆齒沒有生長出來,當問題出現時便能及時處理。」林醫生解釋。
由於恆齒有其發展期,生長期內會生長出來,如過了換牙期就較難長出來,如出現這情況,牙醫可以透過箍牙技術將其拉出來。
[caption id="attachment_493956" align="aligncenter" width="696"]
經歷三年完成顎骨及牙齒矯正療程的頌恩,雖然過程辛苦,初期有輕微不適感及不習慣,但當看到自己的顎骨、牙齒及面形上的變化,就覺得辛苦也值得。他希望以自己經歷鼓勵有需要的人,同時感謝過程中為他準備、跟進的林醫生及所有牙科中心治療人員。
各類牙箍優劣
現時的牙齒矯正器,或稱牙箍或牙托,分為固定式及活動式兩類,前者是全日佩戴,後者因應療程需要而每日戴若干小時。
[caption id="attachment_493946" align="aligncenter" width="690"]
物料方面有金屬類及非金屬類,後者可以是陶瓷或塑膠。固定式的多是金屬類,即鋼牙箍;活動式多數是塑膠,現最常見的是活動式的隱形牙箍。各類牙箍外觀不同,優勝處亦不同。固定式牙箍緊黏在牙齒表面,對於病人的配合度要求低,因不怕他們不戴:缺點是清潔麻煩,避免進食骨頭、果仁類或太硬的食物。如清潔做得不好,就容易牙肉及牙周發炎,牙醫要求病人每次進食後要刷牙,每天早午晚最少刷三次。
佩戴陶瓷及塑膠牙箍,處理方法完全一樣。其好處是接近牙色,外表較美觀。
但效果以金屬類牙箍較好,因為物料是鋼絲,阻力較低,牙醫可以調低壓力,減少病人不適感。陶瓷牙箍相對要用較高壓力,整體治療時間比金屬牙箍長數個月。
透明塑膠牙箍按牙形以三D打印技術打造,但要頻密地換牙箍,每一至兩星期換一套。整體費用會略高。這類牙箍有賴病人的配合。
資源:星島周刊
追蹤CCUE社交媒體,獲得更多吃喝玩樂生活資訊:
Instagram:https://www.instagram.com/ccue.ca/
Facebook:https://www.facebook.com/ccue.ca